医療法人あしかび会 山口歯科診療室 根室市松ヶ枝町2丁目24 電話:0153-24-1262
医療法人あしかび会 山口歯科診療室
根室市松ヶ枝町2丁目24

審美・美容・健康

fotolia_6959657.jpg whi1.jpg tio10_20201013224612038.jpg bo2.jpg vc.jpg

審美歯科

Cosmetic dental

bij.jpg whi_20200429221807394.jpg whit.jpg istock_000020730459large.jpg

審美歯科とは、歯の美しさに焦点を当てた総合的な歯科医療のことです。
当院では、美しい歯並びと白く美しい歯を手に入れ、心からの笑顔を取り戻すための治療を行っております。

ホワイトニング

Whitening

  whi1.jpg opb.jpg tio10.jpg whit.jpg

ホーム&オフィスホワイトニング

Whitening

専用のお薬を塗って歯の色素を分解し、歯を削ることなく白くする方法です。
欧米では、すでに100万人以上の方がこの技術で歯を美白しています。
喫煙やコーヒー、ワインの飲用などによる歯の変色、老化や遺伝による黄ばみにも優れた効果があります。
 
患者さまの歯の質やご希望などをお聞きし最適な方法をご提案いたします。

オフィスホワイトニング

歯科医院にて行うホワイトイングをオフィスホワイトニングといいます。
当院では、ホワイトニング効果が高いオパールエッセンスBOOSTを使用しております。
従来のホワイトニング材の弱点は、しみて痛みが出てしまう可能性がある、ということでした。
ホワイトニング材を使用することで歯を脱水させてしまうため、知覚過敏の症状が出る原因となってると言われていました。
オパールエッセンスBOOSTは水分量を20%以上含んでいるため、歯の脱水を防ぎ知覚過敏症状を出にくくする、という特徴があります。
そして、薬剤にフッ素と硝酸カリウムを配合しているため、しみるのを抑え、エナメル質を強化する効果もあります。
またライト照射不要のオフィスホワイトニング材で、光照射がいらないので白さにムラができにくいのも特徴です。
1回の施術でホワイトニング効果が出るので、短時間で歯を白くしたい方にオススメです。

ホームホワイトニング

ホワイトニング専用のマウスピースを作成し、そこへ薬剤を入れ、お好きな時間に数時間装着する簡単なホワイトニング方法です。
ホワイトニングの期間は、1日1回2時間を2週間続けます。
オフィスホワイトニングと併用すると、より効果を発揮し、長く効果を持続さることができます。

ウォーキングブリージ

ウォーキングブリーチは、神経がなくなった歯が変色した場合に行うホワイトニングです。
歯の中に高濃度の漂白剤を入れて、内側から歯を徐々に白くします。
神経のある歯には使用できません。

詰め物・被せ物

Ceramic

  cera_(2).jpg ce.jpg ce_(4).jpg e3.jpg cru.jpg cru1.jpg

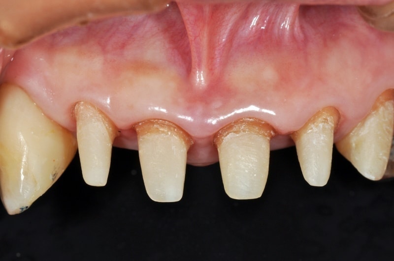
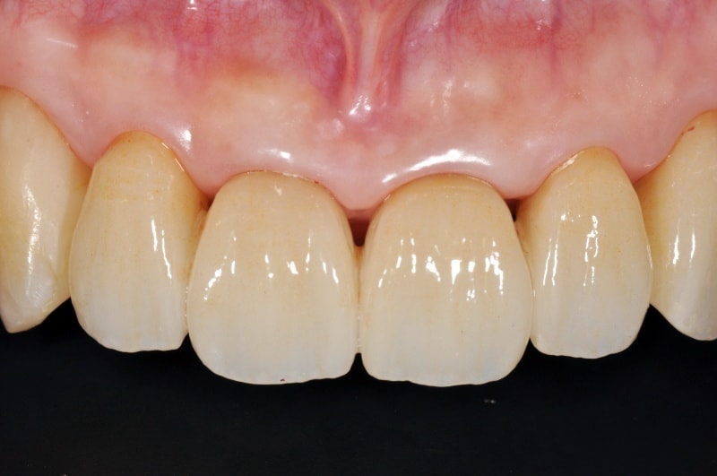
オールセラミック

All Ceramic

金属を一切使わないセラミックのみでできた被せ物、詰め物です。
金属を使用していないため、天然歯により近い色合いや形態を再現でき、歯を美しく生まれ変わらせます。

透明感のある自然な歯にすることができる

オールセラミッククラウンの最大の特徴は、自然の歯のような透明感を出した被せ物を作ることができることです。
歯には神経があり黄色っぽい象牙質と歯の表面を覆っている透明なエナメル質があります。
このエナメル質の透明感を自然に作る事ができるのがオールセラミッククラウンなのです。
周りの歯の色に合わせたい、周りの歯の色より少し白くしたいなど、色を自由に選択することができます。
特に前歯へは金属を使わない治療をお勧めします。

被せ物(クラウン)

Crown

fc_(3).jpg c9.jpg c10.jpg
ファイバーコア・メタルコア

グラスフアイバーの入つた白い土台です。
土台そのものが白いので上に被せる冠がより美しく仕上がります。
また、残っている歯の根の歯根破折を起こしづらい材料です。

c1.jpg pb043625-c1509.jpg
ジルコニア ポーセレン築造

素材は人エダイヤモンドと同じで、その上にポーセレンを盛って、細かいお色をご自分の歯に合わせていきます。
透明感もあり、審美性No1!
前歯にオススメです。
長くお使いいただいても変色しません。

jil.jpg hc3.jpg
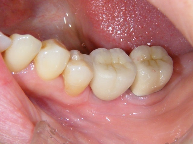
ジルコニア単体

ジルコニアのみで作る冠です。
小臼歯や大臼歯にオススメです。
オールセラミックスで非常に丈夫で、変色もしません。
お色の種類が限られていて、細かいお色の再現は難しいです。

mb.png me1_(2).jpg
メタルボンド

金 属の上に陶材(ご飯を食べるときに使う茶碗と同じような材料)を焼き付けて作ります。
長期間白い部分が変色しないのが最大の特徴です。
ご自分の歯との微妙な色あわせも可能で審美性高く、ご自分の天然の歯と同じ感じになります。

ve.jpg pla.003-thumb.jpg
ラミネートベニア

歯の表面を一層削り取って貼り付けるネイル感覚のセラミックです。
歯の色を変えたい、欠けた歯の形を直したい、歯と歯の間を埋めたいなどが可能です。

  cere.jpg ca7.jpg ce1_(2).jpg ca81.jpg
 

CAD / CAM

Resin

保険適用で白い歯が入ります。
レジン(プラスチック)のブロックをCAD/CAMという機械で削り出して制作するクラウン(かぶせ物)です。
今までの保険で入る白い歯に比べて、強度も2倍。
 
特徴
・自然で美しい光沢、透明感があります。
・ステインやプラークが付着しにくくなります。
・銀歯に比べ、審美性も高いです。

アクセス

Access

医院名

山口歯科診療室

院長

山口 和男

住所

〒087-0016
根室市松ヶ枝町2丁目24

駐車場

医院前:3台

医院裏手:10台

電話

(0153)24-1262

診療時間

Date.etc

月,火,木,金曜日

 9時~12時 / 14時~17時

水,土曜日

 9時~12時

休診日

日曜・祝祭日・年末年始・学会参加時

お支払い

自費診療に限りカード払い可能